A fogászati implantátumok váltak a fogpótlás terápia szabványává. Nemcsak elősegítik a hosszabb és megfelelő szájhigiéné fenntartását, hanem ők a leginkább költséghatékony megoldások hosszú távon.
A fogászati implantátumok
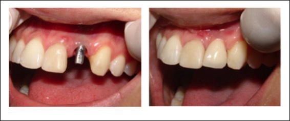
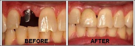
A fogászati implantátum egy titán gyökér , amely az íny alatt helyezkedik el. Ez a tökéletes hosszú távú megoldás a hiányzó fog vagy fogak pótlására . Ezzel a módszerrel hosszabb rövidebb távolságokat tudunk áthidalni, aminek a stabil alapot a beültetett fogászati implantátum adja. A fogászati implantátum a mai napig a legjobb hosszú távú választás, amely ösztönzi a csont stabilitását, megakadályozza a csontvesztés és megőrizze a szomszédos fogakat, hiszen ezeket nem kell lecsiszolni . És alig van kellemetlen érzés egyáltalán. Az implantátum élettartama elérheti a 25 évet vagy annál is többet!
Miért a fogászati implantátum a legjobb?
A fogászati implantátumok
A fogászati implantátum egy titán gyökér , amely az íny alatt helyezkedik el. Ez a tökéletes hosszú távú megoldás a hiányzó fog vagy fogak pótlására . Ezzel a módszerrel hosszabb rövidebb távolságokat tudunk áthidalni, aminek a stabil alapot a beültetett fogászati implantátum adja. A fogászati implantátum a mai napig a legjobb hosszú távú választás, amely ösztönzi a csont stabilitását, megakadályozza a csontvesztés és megőrizze a szomszédos fogakat, hiszen ezeket nem kell lecsiszolni . És alig van kellemetlen érzés egyáltalán. Az implantátum élettartama elérheti a 25 évet vagy annál is többet!
Miért a fogászati implantátum a legjobb?
- Ösztönzi a csontok növekedését az implantátum környéken.
- Csökkenti a csontlebontódást az implantátum környékén.
- Nem kell épfogakat lecsiszolni, mint egy híd esetében.
- Nem lazítja ki a szomszédos fogakat, mint a részleges fogsor.
- Alacsonyabb a hosszú távú költsége, mint a hídcserének.
- Hosszabb az élettartama, mint bármely más fogpótlásnak.
Fedezze fel a fiatalság forrását
Az egyik legfontosabb tényező az öregedési folyamatban a csontpusztulás, ami egy természetes folyamat. Azáltal, hogy elkerüli a természetes csontpusztulást, csökkenti az esélyét a korai ráncosodásnak és az arc illetve az állkapocs szerkezete erős és egészséges marad.
A hiányzó fogak pótlásával nemcsk jobban fog kinézni és jobban érzi magát, hanem fiatalabbnak és vonzóbbanak érzi magát, de növeli az általános életminőséget is. Implantátumokkal változni fog, a társadalmi helyzethez és az élet való viszonya. Hihetetlen , de egy egészséges, új mosoly és a lazább hozzáállás ténylegesen javítja az általános hangulatot ! És a vizsgálatok azt mutatják, hogy az emberek, akik többet mosolyognak és nevetnek kevesebbet aggódnak és csökken a stressz is.
Egyen, igyon és legyen vidám!
Élvezze újra a kedvenc ételeit! Míg a fogsor kiszámíthatatlanul viselkedik étkezéskor és esetleg kínos társadalmi helyzetekben hozza, addig az implantátumok minden szempontból javítják az etkezés örömét.
Mondjon búcsút a :
- kényelmetlen harapásnak és rágásnak.
- a korlátozott étrendnek és a nem megfelelő táplálkozásnak.
- rossz emésztésnek.